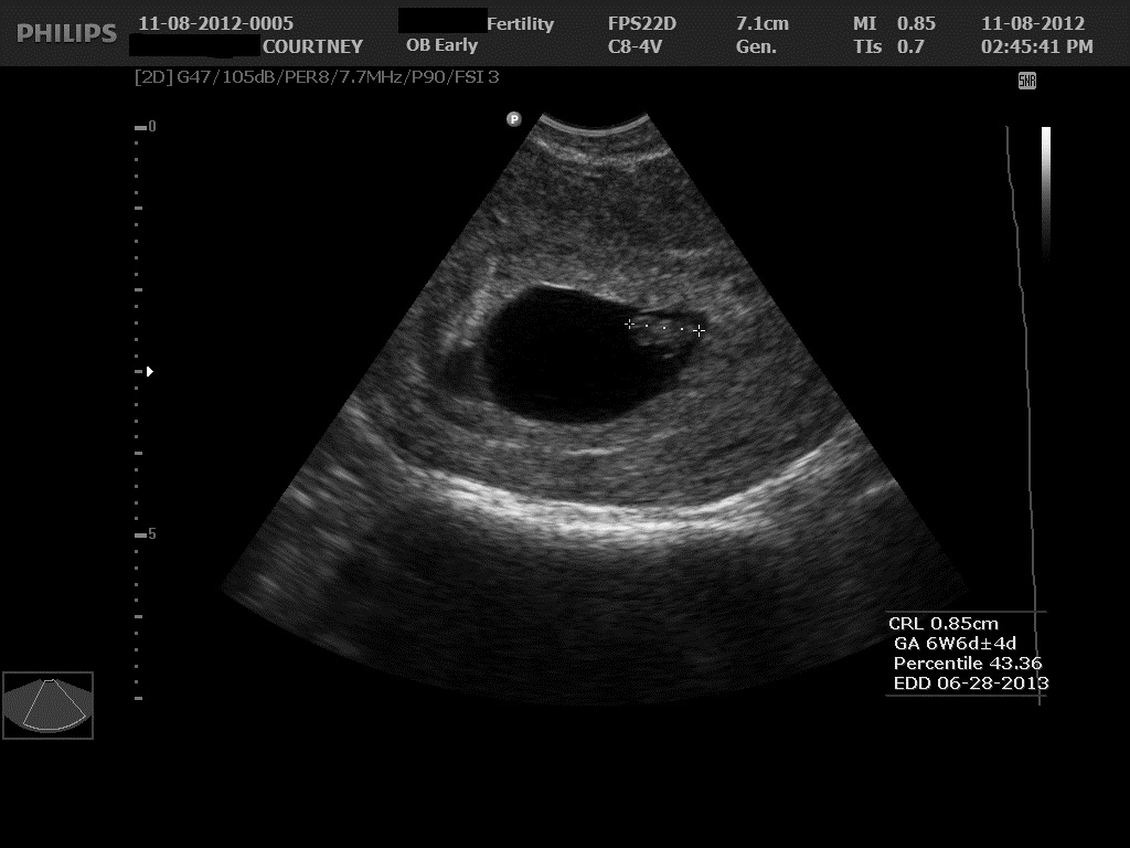
Ultrasound 2 November 12, 2012 by Courtney Leave a comment ← Previous Image Next Image → 6w4d – CRL of 8.5mm Like Loading...